View Cara Mengatasi Gigi Kuning Pada Anak

Menyikat gigi dengan benar, 2 kali sehari, yaitu pada pagi hari dan malam hari sebelum tidur.

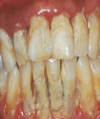
View Cara Mengatasi Gigi Kuning Pada Anak. Kandungan flouride pada pasta gigi juga. Kandungan asam pada lemon mampu mengangkat bakteri penyebab gigi kuning.

Penyebab dan Cara Mengatasi Sariawan pada Bayi - Alodokter
Penyebab dan Cara Mengatasi Sariawan pada Bayi - Alodokter from res.cloudinary.com
Nah seperti halnya racun, noda pada gigimu pun juga bisa diserap. Hindari makanan dan minuman yang mengandung pewarna. Sehingga gigi putih dan kinclong akan related posts for 5 cara memutihkan gigi yang kuning dengan cepat secara alami.

Atasi saja dengan cara cara sederhana tersebut ternyata terbukti ampuh untuk mengangkat noda dan kotoran pada gigi.

Menyikat gigi dengan benar, 2 kali sehari, yaitu pada pagi hari dan malam hari sebelum tidur. Dengan mengoleskan minyak cengkeh pada gigi secara teratur, gigimu akan bersih dari noda. Masalah kesehatan gigi pada anak tentu saja perlu diperhatikan. Hindari makanan dan minuman yang mengandung pewarna.