View Cara Mengatasi Asam Urat Di Lutut

Lalu bagaimana cara mengatasi penyakit asam urat?

View Cara Mengatasi Asam Urat Di Lutut. Penyebab kadar asam urat tinggi. √ verified pass quality & scientific checked by advisor, read our quality control guidelance for more info.

Cara mengatasi Asam Urat di Jari Tangan, Lutut/Kaki cukup ...
Cara mengatasi Asam Urat di Jari Tangan, Lutut/Kaki cukup ... from i.pinimg.com
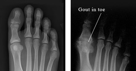
Penyebab kadar asam urat tinggi. Penyakit asam urat terjadi saat kadar asam urat naik sehingga membentuk kristal. 5 jenis obat asam urat pada lutut termanjur.

Mereka yang menderita asam urat akan mengalami beberapa gejala.

Daerah yang diserang biasanya pergelangan tangan dan siku, sendi jari kaki, jari tangan, lutut, tumit dan dengkul. Tanda gejala asam urat dimulai dengan rasa panas, gatal, atau kesemutan di persendian satu umumnya, rasa sakit ini terjadi di pankal jempol kaki, siku, lutut, pergelangan tangan atau kaki, hingga punggung kaki. Berikut beberapa cara mengatasi asam urat secara alami dirangkum dari berbagai sumber. Penyakit asam urat kebanyakan menyerang sendi jari tangan, lutut, pergelangan kaki.