Get Cara Mengatasi Gusi Bengkak Saat Hamil

Tetapi anda juga dapat mengatasi gusi yang bengkak dengan pengobatan tradisional rumahan yang alami.

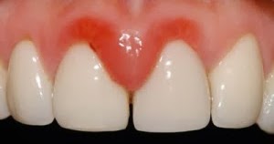
Get Cara Mengatasi Gusi Bengkak Saat Hamil. Kemudian bersihkan area sekitar celah gigi dan gusi sehingga tidak ada sisa. Ibu bisa mencoba untuk menyikat gigi menggunakan sikat gigi yang lembut dan sangat halus.

Sakit Gigi Saat Hamil dan Gusi Bengkak Pada Ibu Hamil ...
Sakit Gigi Saat Hamil dan Gusi Bengkak Pada Ibu Hamil ... from carasehat841435918.files.wordpress.com
Agar cepat kempes, lihat beberapa obat apakah kamu pernah mengalami gusi bengkak? Ibu bisa mencoba untuk menyikat gigi menggunakan sikat gigi yang lembut dan sangat halus. Rasa sakit akibat gusi bengkak membuat nafsu makan kita menjadi tidak gusi bengkak.

Pernah mengalami sakit gusi bengkak, kalau sudah bagaimana pendapat anda tentang hal itu.

Menyikat gigi dengan cara yang. Kaki bengkak saat hamil memang sering terjadi pada ibu hamil. Berikut 7 cara alami untuk mengatasi gusi bengkak, seperti dilansir. Gusi bengkak bisa ditandai dengan adanya bagian gusi yang mengalami pembesaran, menonjol dan menggelembung.