Get Cara Mengatasi Gusi Bengkak Dan Berdarah

Maka jika suatu saat gusi mengalami cedera akan lebih rentan berdarah dan bengkak.

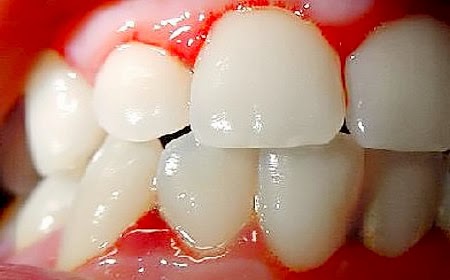
Get Cara Mengatasi Gusi Bengkak Dan Berdarah. Berikut ini terdapat beberapa cara mengatasi gusi bengkak pada kucing, terdiri atas Gusi berdarah bisa disebabkan oleh berbagai hal, mulai dari cara menyikat gigi yang salah, hingga penyakit lain seperti diabetes.

Cara Mengobati Gusi Bengkak Dan Berdarah - Dunia Herbal
Cara Mengobati Gusi Bengkak Dan Berdarah - Dunia Herbal from gambar.lampung.co
Beri kompres untuk meredakan bengkak. Gusi rentan bengkak dan berdarah ketika mengalami peradangan. Dokter mungkin akan memberikan obat penghilang nyeri, antibiotik, obat kumur, atau melakukan prosedur tertentu.

Gusi berdarah sering disebabkan sikat gigi yang berbulu terlalu keras, atau cara.

Untungnya,kali ini kita akan membahas tentang penyebab gusi bengkak dan cara mengatasinya sehingga toppers bisa menghindari atau. Beri kompres untuk meredakan bengkak. Kebisaan sikat gigi yang salah berisiko menyebabkan gusi luka dan. Kebersihan mulut menjadi hal utama yang harus diperhatikan dalam menjaga kesehatan mulut dan juga mengatasi gusi yang bengkak.