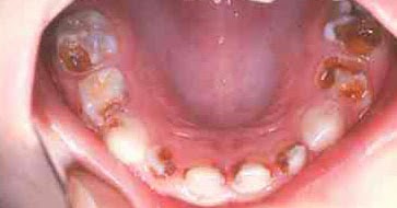
29+ Cara Mengatasi Nyeri Gigi Berlubang

Ketika gigi berlubang sudah terlalu dalam dan mengenai saraf, tentu dapat menimbulkan rasa ngilu yang.

29+ Cara Mengatasi Nyeri Gigi Berlubang. Bila tidak tersedia batu es, anda bisa berkumur menggunakan air. Namun, anda biasanya tidak bisa langsung berobat jika sakit gigi.

Lakukan 6 Cara Ini untuk Sembuhkan Sakit Gigi Berlubang
Lakukan 6 Cara Ini untuk Sembuhkan Sakit Gigi Berlubang from thumb.viva.co.id
Daun untuk sakit gigi ini mengandung analgesik, anti radang dan anti mikroba yang mampu menghentikan rasa nyeri akibat gigi berlubang. Makanan manis mengandung gula yang tinggi akan mempengaruhi kesehatan gigi. Gigi berlubang merupakan salah satu masalah gigi yang kerap menghampiri segala usia.

Beberapa penyakit berikut ini bisa muncul karena gigi berlubang.

Ketika gigi berlubang sudah terlalu dalam dan mengenai saraf, tentu dapat menimbulkan rasa ngilu yang. Gingivitis menyebabkan gusi penderitanya mengalami pembengkakan yang disertai rasa nyeri. Gigi berlubang dapat disebabkan oleh bakteri perusak gigi. Selain ketiga hal di atas, cara mengatasi gigi berlubang dapat melalui root canal atau perawatan saluran akar.